The Difference Between Red and Dark Acne Marks

Supporting a loved one with dyslexia can be a fulfilling journey, one filled with opportunities for growth, understanding, and connection.

Dyslexia, often characterized by difficulties with reading and language processing, can present unique challenges for those who experience it.

However, with the right encouragement and daily support, individuals with dyslexia can thrive and build a strong sense of self-worth.

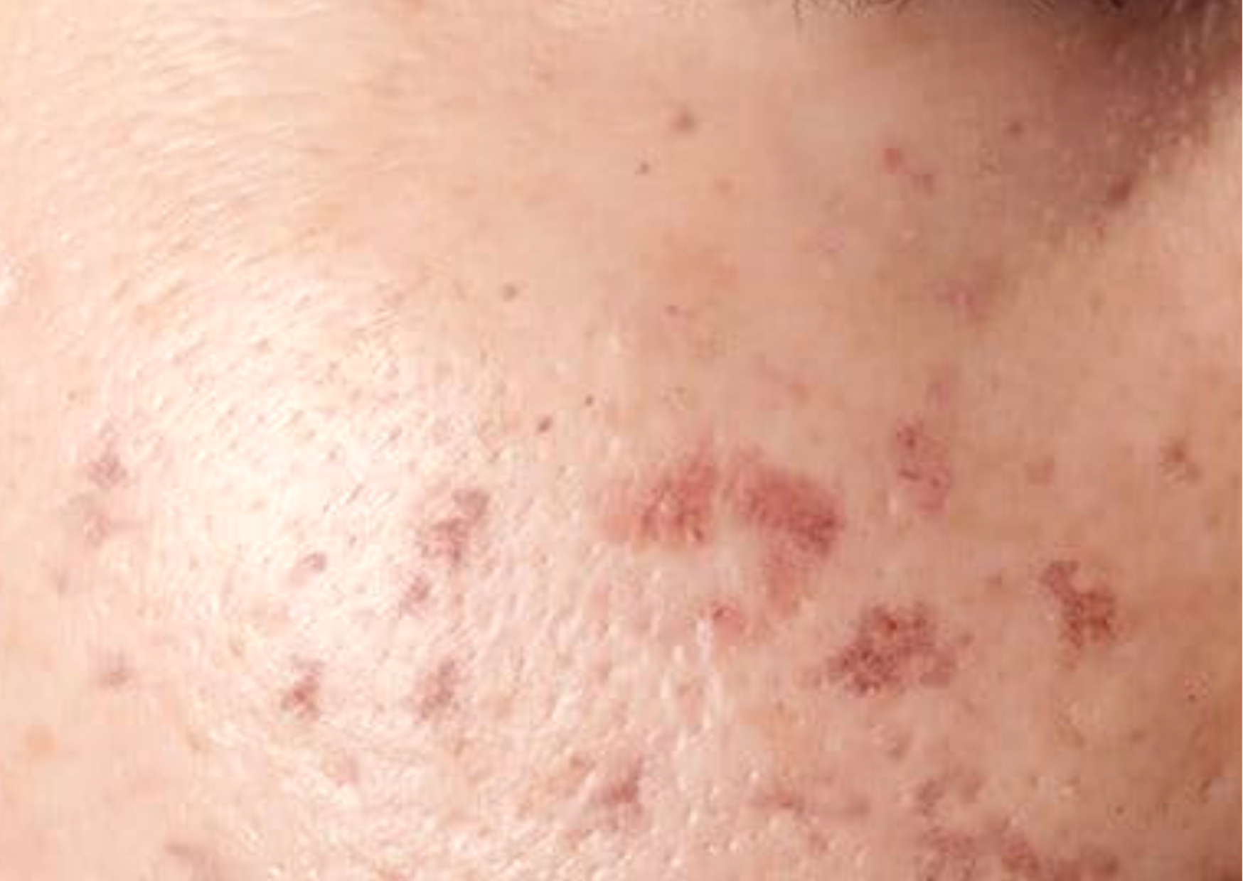
After an acne lesion heals, the skin may develop visible marks that differ in color and underlying cause. The two most common types are red marks, known as post-inflammatory erythema (PIE), and dark marks, referred to as post-inflammatory hyperpigmentation (PIH). Although they can appear similar at a glance, they arise from different biological processes within the skin and require slightly different approaches for management.

Image

Image

Image

Image

Red acne marks, or post-inflammatory erythema, are primarily related to changes in the skin’s blood vessels. During an inflammatory acne lesion, the body increases blood flow to the affected area as part of the immune response. After the lesion heals, some of these superficial blood vessels remain dilated or take time to return to their normal state. This results in persistent redness that may appear pink, red, or even slightly purple, especially in lighter skin tones. Because PIE is vascular rather than pigment-based, it does not involve excess melanin production and tends to fade gradually as the blood vessels recover.

Dark acne marks, or post-inflammatory hyperpigmentation, develop through a different mechanism involving melanocytes. In response to inflammation, these pigment-producing cells increase melanin synthesis, leading to localized areas of discoloration. These marks can range from light brown to deep brown or gray, depending on the depth of pigment and the individual’s skin tone. Unlike PIE, PIH is driven by pigment deposition rather than vascular changes, which is why it often persists longer, particularly when deeper layers of the skin are involved.

Several factors influence whether a person develops red or dark marks after acne. Skin tone plays a significant role, as individuals with lighter skin are more prone to erythema, while those with higher baseline melanin levels are more likely to experience hyperpigmentation. The severity and duration of inflammation also matter, since prolonged or deeper inflammation can increase both vascular changes and melanin production. External factors such as sun exposure and irritation from aggressive skincare can further intensify dark marks by stimulating melanocytes.

Management strategies differ based on the type of mark. Red marks associated with PIE often improve as the skin naturally recovers, though ingredients that reduce inflammation and support the skin barrier, such as niacinamide, may help calm the appearance of redness. In some cases, dermatological treatments targeting blood vessels, such as certain laser therapies, are used to accelerate resolution. Dark marks related to PIH are typically addressed with ingredients that regulate pigmentation and promote cell turnover, including retinoids, azelaic acid, and gentle exfoliating acids.

Sun protection is essential for both types of marks, but it is especially critical for hyperpigmentation. Ultraviolet exposure can stimulate melanocytes and deepen discoloration, slowing the fading process. Consistent use of broad-spectrum sunscreen helps maintain a more even skin tone and supports the skin’s natural recovery.

While both red and dark acne marks are part of the skin’s healing response rather than permanent damage, they can take weeks to months to fade depending on their depth and severity. Understanding whether a mark is vascular or pigment-based allows for a more targeted and effective approach, supporting clearer and more balanced skin over time

Leave a Reply

Your email address will not be published. Required fields are marked *